
Normal cervix and cervical length at 16 weeks |

Normal sagittal view of placenta |

Normal right and left ovaries |

Normal 16 week cerebellum |

Normal 16 week cisterna magna |

Normal 16 week nuchal fold |

Normal 16 week choroid plexus |

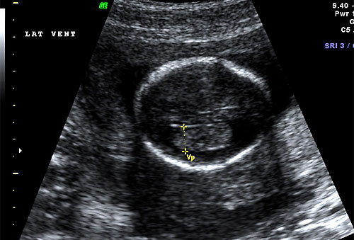
Normal 16 week bilateral ventricles |

Normal 16 week ventricular atria (lateral ventricle size) |

Normal 16 week thalami and falx cerebri |

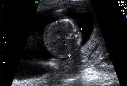
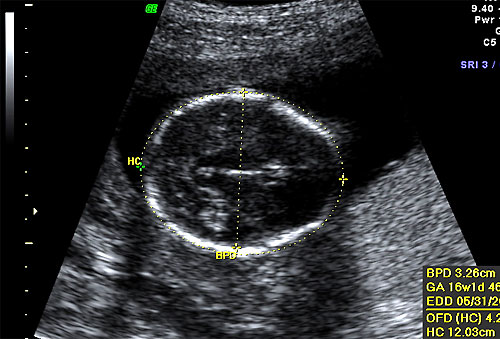
Normal BPD and HC at 16 weeks |

Normal 16 week OFD measurement |

Normal 16 week abdominal anatomy |

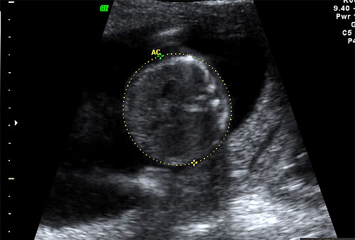
Normal AC measurement at 16 weeks |

Normal AC measurement at 16 weeks |

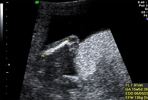
Normal 16 week FL measurement |

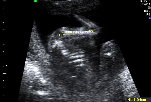
Normal 16 week HL measurement |

Normal 16 week stomach |

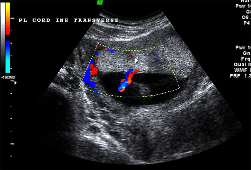
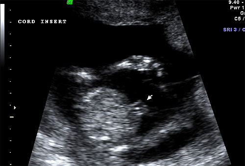
Normal 16 week fetal cord insertion site |

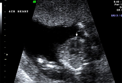
Normal 16 week 4 chamber heart |

Normal 16 week fetal bladder |

Normal 16 week m-mode fetal heart rate |

Normal 16 week 3 vessel cord by color flow Doppler |

Normal 16 week fetal legs |

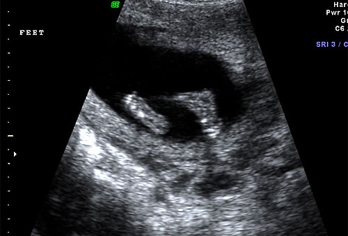
Normal 16 week fetal feet |

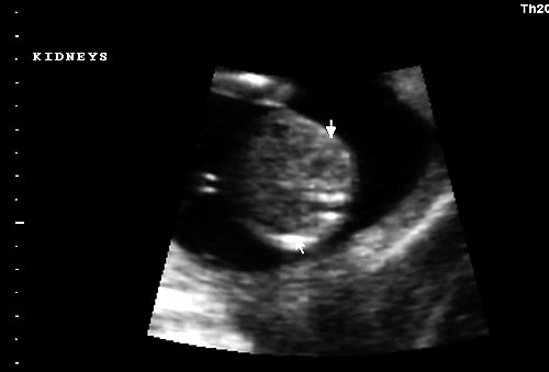
Normal 16 week fetal kidneys |

Normal 16 week sagittal view of cervical spine |

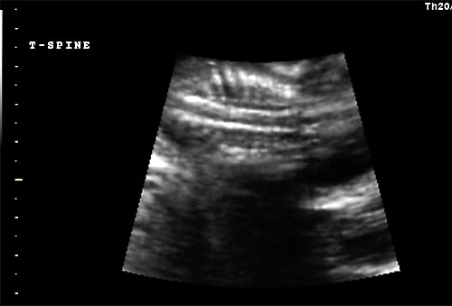
Normal 16 week sagittal view of thoracic spine |

Normal 16 week sagittal view of L/S spine |

Normal 16 week transverse view of cervical spine |

Normal 16 week transverse view of thoracic spine |

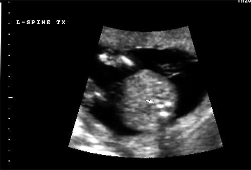
Normal 16 week transverse view of L/S spine |

Normal 16 weeks right arm |

Normal 16 week right hand |

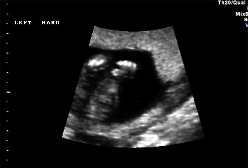
Normal 16 week left hand |

Normal 16 week fetal face |

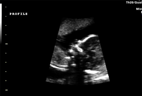
Normal 16 week sagittal view of face |

Transverse placenta at 16 weeks |

Color flow of central placental cord insertion of 16 week fetus |

3D ultrasound of 16 week fetus |

Biometry of 16 week fetal ultrasound |