Ultrasound Course Module 5
Biometry, Prenatal Diagnosis, and Doppler
Lesson 3: Prenatal Diagnosis
- Cardinal Principle of Antenatal Detection
- Recognition of a departure from normal anatomy
- Absence of a normal structure
- Alteration of a normal structure (size, shape, location, continuity, echogenicity)
- Presence of an abnormal structure
- Reliability of Ultrasound Screening: Variables
- Prevalence of the condition
- Nature of the condition — "sonographic visibility"
- Quality of equipment and operator
- Imaging challenges:
- Maternal obesity
- Oligohydramnios
- Early/Late gestational age
- Fetal position
- Detection of Anomalies (Ewigman BG, Crane JP, Frigoletto FD, LeFevre ML, Bain RP, McNellis D. Effect of prenatal ultrasound screening on perinatal outcome. RADIUS Study Group. N Engl J Med. 1993 Sep 16;329(12):821-7. & Luck CA. Value of routine ultrasound scanning at 19 weeks: a four year study of 8849 deliveries. BMJ 1992;304(6840):1474-78.)
Sensitivity and SpecificitySensitivity % Sensitivity % n Radius 16.6 99.9 7685 Luck et. al. 84.3 98.6 8523 - Detection Rate by Classification of Anomalies (Romero R. Routine obstetric ultrasound. Ultrasound Obstet Gynecol 1993;3(5):303-07.)
- Lethal Anomalies 89%
- NICU Admission 77%
- Minor Anomalies 30%
- Most frequently missed:
- Cardiac malformations
- Cleft lip/palate
- Genitourinary (hypospadias, epispadius, ambiguous genitalia)
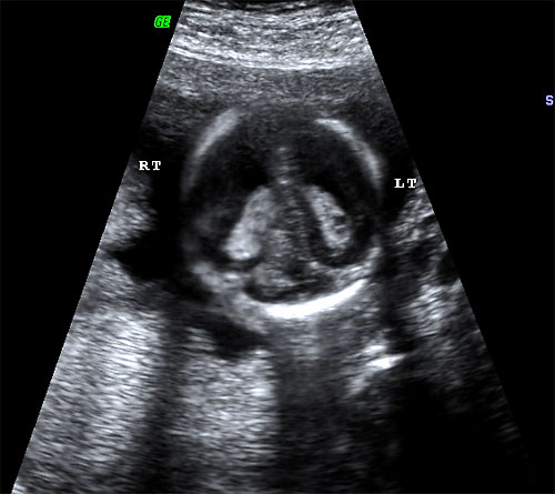
- Detection of Aneuploidy: "Soft Signs"
- Thickened nuchal skin fold
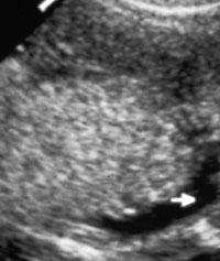
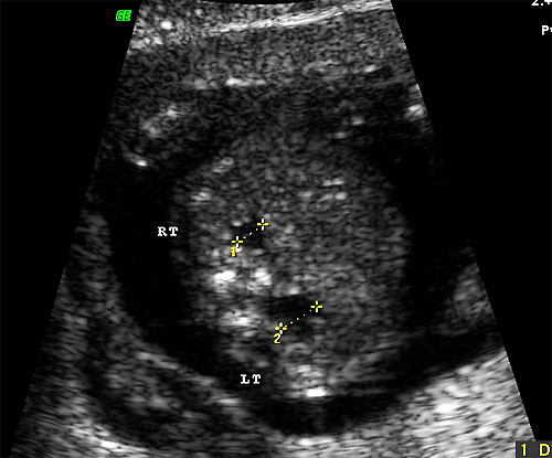
- Choroid plexus cysts
- Mild renal pyelectasis
- Hyperechoic bowel
- Echogenic intracardiac foci
- Short femur/humerus
- All are normal variants
- All are more prevalent in aneuploid fetus
- "Soft Signs" Scoring System (Bromley B, Shipp T, Benacerraf B. Genetic sonogram scoring index: accuracy and clinical utility. J Ultrasound Med 1999;8:523-28.)
- Two Points:
- Major structural anomaly
- Thickened nuchal fold
- One Point:
- Soft Signs o/t nuchal fold
- Two Points:
- "Soft Signs" Scoring System
Total Score 2 or greater:
Sensitivity (T21) — 85%
Sensitivity (T18 & T13) — 100%
PPV (T21):- Age > 40 — 7.1%
- Age 35-39 — 3.9%
- Age < 35 — 1.9%
- Nuchal Skin Fold (Benacerraf BR, Frigoletto FD Jr, Laboda LA. Sonographic diagnosis of Down syndrome in the second trimester. Am J Obstet Gynecol. 1985 Sep 1;153(1):49-52)
- Midtrimester (16-22 weeks)
- Edematous integument, with or without fluid collection
- Cut-off value: 6.0 mm
